Dental Implants
in Louisville

Keep your smile bright and strong with Parkside Family Dental

Replace Missing Teeth

Restore Comfort and Function

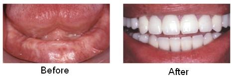
Dental implants provide durable, natural-looking replacements for missing teeth. At Parkside Family Dental, our Louisville dentist offers single implants, bridges, and implant-supported dentures. With dental implants in Louisville, you can chew, speak, and smile with confidence again.

Why Dental implants

Dental implants in Louisville replace missing teeth with strong, lasting results.

  • Single implants replace one missing tooth with a crown
  • Implant bridges restore multiple teeth without relying on adjacent teeth
  • Implant dentures provide stability without adhesives
  • Implants prevent jawbone loss and maintain facial shape

At Parkside Family Dental, we combine expertise and technology to deliver implant care that restores both health and appearance.

Dental Implant Facts

Dental implants are secure, natural-looking replacements designed to restore both function and confidence.

  • Implants act like natural tooth roots, made from durable titanium for strength and stability
  • Once healed, they can support crowns, bridges, or dentures just like healthy roots
  • The procedure involves placing the implant into the jawbone, where it bonds naturally over time
  • With proper care—brushing, flossing, and regular checkups—implants can last for decades or even a lifetime
dental-implant-system

Types of Dental Implants

Dental implants provide several advantages over other teeth replacement options. In addition to looking and functioning like natural teeth, implant-supported bridges replace teeth without support from adjacent natural teeth.

Single Tooth Replacement

Single Tooth Replacement

If you are missing a single tooth, one implant and a crown can replace it. A dental implant replaces both the lost natural tooth and its root.

Implant-Supported Bridges

An Implant-supported bridge is a dental prosthesis supported by two or more implants replacing three or more teeth.

Implant-Supported Partials & Dentures

Implant-supported partials and dentures restore multiple missing teeth with stability, comfort, and confidence, unlike removable options.

Expert Dental Implants in Louisville

Why Choose Parkside Family Dental

Tailored Dental Plans

Tailored Dental Plans

We assess your oral health and create implant solutions that meet your needs, from a single tooth to full-arch replacement.
Proven Expertise

Proven Expertise

Dr. Graboviy is a Master of the International Congress of Oral Implantology and has earned multiple national awards for excellence in implant care.
Durable Results

Durable Results

Our implants are crafted from high-quality titanium and restored with lifelike crowns, bridges, or dentures designed to last.
Patient Satisfaction

Patient Satisfaction

Your experience matters. We gather feedback regularly to improve and ensure every visit exceeds expectations.
Dental Implants

How Dental Implants Support Your Oral Health

Permanent Stability
Implants integrate with the jawbone, creating a strong, lasting replacement for missing teeth.

Comfortable Care, Trusted Results

The Dental Implants Process

Schedule Your Appointment

Call us to book a time that fits your schedule. Our team makes it easy and convenient to plan your visit.

Implant Consultation

We evaluate your oral health, bone structure, and goals to determine if implants are right for you.

Implant Placement

A titanium post is surgically placed in the jawbone to act as a replacement root.

Healing & Integration

The bone grows around the implant, creating a secure foundation for your new tooth.

Restoration Placement

We attach a crown, bridge, or denture to complete your smile with natural, functional results.
Dental-Implants

Maintaining Results
After Your Visit

After your Dental Implants at Parkside Family Dental of Louisville, follow these steps to maintain good oral health:

  • Brush and floss around implants daily
  • Avoid chewing hard objects like ice
  • Schedule routine implant checkups
  • Wear a night guard if recommended

Consistent care keeps implants healthy and ensures they last for many years.

What Our Patients Are Saying

Testimonials

At Parkside Family Dental of Louisville, our patients say it best. Here's what they're sharing through their Google Reviews about their experience with our care.

Frequently Asked
Questions

Am I a candidate for dental implants?
If you are missing one or more teeth and have healthy gums and bone, implants may be right for you. Our Louisville dentist provides full evaluations to confirm candidacy.

Replace Missing Teeth with Confidence

Contact Parkside Family Dental of Louisville to book your Dental Implants consultation.
Our award-winning implant care restores health, comfort, and confidence with lasting results.

Scroll to Top